Reizdarm als Frauenproblem
Leise Krankheit, starke Stimmen
Spezielle Ernährung kann Krebstherapien wirksamer machen
Bauchspeicheldrüsenkrebs bildet eigene „Synapsen“
Prostatakrebs: Neuer Therapieansatz
Brustkrebs und Sexualität – Tabuthema mit Lösungsmöglichkeiten: Lidocain gegen Schmerzen beim Geschlechtsverkehr
Alkohol und Brustkrebs: Risiken, Fakten und Tipps zur Vorbeugung
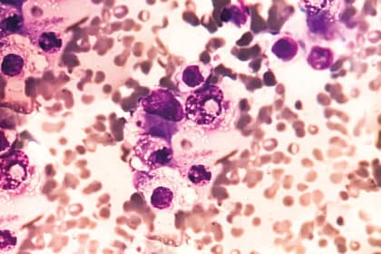
Analyse-System für die Brustkrebs-Diagnostik nutzt Künstliche Intelligenz
Hand aufs Herz
„Früherkennen heißt heilen!“
Früherkennung von Lungenkrebs rettet Leben
Intermittierendes Fasten bei Brustkrebs: Potenzial in der Krebstherapie – aber keine Wunderwaffe
Fasten bei Krebs: Wie gezielter Nahrungsverzicht die Krebstherapie unterstützen kann
Traditionelle Chinesische Medizin (TCM) bei Lungenkrebs: Ein ergänzender Therapieansatz
Mikro-Ultraschall verbessert Prostata-Krebs-Diagnose
Fasten bei Krebs
Wenn der Körper Rätsel aufgibt
Neue Therapie bei Hautkrebs
Neue Hoffnung bei Brustkrebs
Brustkrebs: Fingerschweiß als neuer Therapie-Indikator
Multiples Myelom: Vorsicht bei unklaren Schmerzen